いつもお世話になっております。
どうもワタクシです。
仕事が忙しい&不眠&花粉症で頭が常に朦朧としている状態です。
元々弱い頭がさらに働いてないってことは、もう最悪ってことで。
さすがにマズイので、頭の体操のためにもサボっていたブログを書くぞ!
18歳くらいで成長が止まっているワタクシとは対照的に、がん治療が進化を続けています。
近年では、オプシーボを始めとする「免疫チェックポイント阻害剤」と言われる新薬が上市され、注目を集めました。
免疫チェックポイント阻害剤は、従来の抗がん剤のような、がん細胞を直接攻撃するものではありません。
がん細胞が持つ、免疫力を低下させる働きを防ぐことによって、人間本来が持っている免疫細胞の力を引き出し、がん細胞をやっつけようというもの。
手術が困難であったり、従来からの抗がん剤が効かなくなった患者さんにとって、大きな希望となるお薬です。
そして本日紹介したいのは、この「免疫チェックポイント阻害剤」に次ぐ、新たながん治療として注目を集めている「ウイルス製剤」を開発している会社。
その名もオンコリスバイオファーマさんです!
オンコリスバイオファーマとは!

オンコリスバイオとは04年創業の創薬ベンチャーです。
2013年の上場当所、最重要パイプラインだったのはHIV治療薬「OBPー601」でした。
アメリカのBMS社に導出した「OBP-601」のマイルストーン収入の総額は290億。
世界17ヵ国、300名のHIV患者を対象とした大規模なフェイズ2b試験を実施中であり、この結果によって順調にフェイズ3入りが発表されれば、さらに企業価値は高まるぞ!と。
そんな絶妙なタイミングでオンコリスは上場します。
既に大型導出の実績もあるオンコリスバイオは、投資家からも大きな注目を集め、事実、上場によって60億円の資金調達に成功しました。
この資金で、「OBPー601」の開発は強力に進んでいくぜ、と思われましたが……。
上場から半年もたたないうちに、まさかのBMSがオンコリスとの契約破棄を発表。
有効性、安全性とも評価項目を達成したにも関わらず……です。
破棄の理由は、OBP-601は一定の有効性を示しながらも、多くの競合薬が出てきたことによって、見込んでいた収益は確保できないと判断したから、だと思われます。
オンコリスの目玉であり、上市したらブロックバスター候補になるぞ!って言われていたパイプラインが事実上消滅したことで、株価は大暴落。
しかも、繰り返しになりますが、上場から提携解消までの流れが最悪でした。
上場して資金を集めたは良いものの、フェイズ2bの治験結果の発表は当初計画よりもズルズルと引き伸ばされました。
そして総会が終わってから、日が経たないうちに突然、契約解消を発表したのです。
治験を主導しているのはBMSですので、単なる偶然かもしれませんが、あまりにも色々と裏があるのではと勘繰りたくなるような資金調達から契約破棄の流れ。
会社へのイメージは物凄く悪くなっと言わざるを得ません。
600億あった時価総額は連発ストップ安をくらって、一時は40億までに。
完全に終わったな……。
そう思いました。
100%思いました。
でも。
終わっていなかったのです!
オンコリスバイオは残されたパイプラインに経営資源を集中投下すると戦略を転換しました。
ウイルス製剤「テロメライシン」です。
ウイルス製剤「テロメライシン」の可能性がヤバい!
上市までの道筋が見えていた分だけ、HIV治療薬にのみ注目が集まっていましたが、実はオンコリスはもうひとつ魅力的なパイプラインを持っていました。
というか、創業時はこっちがメイン。
がん治療薬です。
それもただのがん治療薬ではありません。
腫瘍溶解ウイルス製剤「テロメライシン」。
もう名前からしてスゴそう……。
腫瘍を溶かすウイルスのお薬ですよ。
こういう言葉を聞くとワクワクしてしまうワタクシは、完全にバイオ株に毒されていると思います。
それはともかく、もっと具体的にど素人のワタクシが、テロメライシンの作用機序を説明しますと↓のような感じです。
まずがん細胞がなぜ恐ろしいかというと、簡単に言えば死なないから。
染色体の末端にはテロメアと呼ばれる保護領域があります。
このテロメアは老化とともに徐々に短くなっていき、やがて無くなります。
すると、それ以上の細胞分裂は出来なくなり、細胞は死に至るのです。
ところが、テロメラーゼという酵素が活発に働くと、テロメアは短くならずに安定化します。
がん細胞ではズバリこのテロメラーゼが活性化しており、細胞分裂が無限に繰り返されることで、死んじゃうどころかどんどん増殖していっちゃうのです。
恐るべしがん細胞。
そこでオンコリスの出番!
オンコリスが開発中のウイルス製剤「テロメライシン」は、「アデノウイルス」という風邪のウイルスを取り出し、「テロメラーゼが活性化している細胞内で増えまくれー! そんでやっつけちゃえー!」という遺伝子改変を施します。
投与されたテロメライシンは、自らに与えられた使命を愚直に遂行。
テロメラーゼが活性化している、様々な種類のがん細胞の中でガンガン増殖し、がんを破壊するのです。
ポイントは、テロメラーゼが活性化していない通常細胞では働かないこと。
そのため、副作用が小さく、安全性にも優れた新たながん療法になると、期待を集めています。
テロメライシンは実際に効果があるのか?

それを検証するために、現在、臨床試験が行われている最中なんですが、これまでに分かっている臨床データなどをご紹介いたします。
まずは2013年に発表された胃がん幹細胞に「テロメライシン」を投与したデータです。
テロメライシンを投与した胃がん幹細胞の変化

出典:腫瘍融解ウイルス「テロメライシン」のがん幹細胞に対する抗腫瘍効果を証明
がん幹細胞とはがん細胞の「親分」。
次々に新しいがん細胞を生み出す、恐怖の存在です。
上から二段目のテロメライシンを投与した場合の、がん幹細胞の変化を示しています。
少しずつがん幹細胞のサイズが小さくなって、やがて消失していっていることが分かるでしょう。
ちなみに三段目はメジャーな抗がん剤「シスプラチン」を投与した場合。
最下段は放射線を照射した場合です。
いずれもがん幹細胞に変化は見られませんでした。
スゲーぞ!テロメライシン!
肺がんマウスへのテロメライシンへの投与
次にマウスを使った前臨床研究の結果について見てみましょう。
下記はマウスに人の肺がんの腫瘍を移植し、その後、テロメライシンを投与した場合の腫瘍の変化を示しています。

出典:オンコリスバイオファーマ決算説明会資料
ちょっと分かりにくいですが、一番上の青いグラフがなんもしなかった場合の肺がんの大きさ。
時間経過に伴って、急激に大きくなっています。
一方、一番下の赤いグラフがテロメライシンを投与した場合の肺がんの大きさを示しています。
こちらも顕著な腫瘍縮小効果が示されていますね。
完全に消失した例もあったとのことです。
スゲーぞ!テロメライシン!
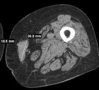
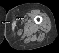
多種の末期がん患者へのテロメライシンの投与
では実際のがん患者さんに投与したらどうなるのか。
下記は2006年にアメリカで実施されたテロメライシンのフェイズ1です。
がんの種類は特定せずに、メラノーマ、肺がん、乳がんなど、手術もできないし、他の抗がん剤でも効果が見込めない末期のがん患者全16名に対し、テロメライシンを投与した結果になります。
【投与前】

【投与後】

悪性黒色腫(メラノーマ)にテロメライシンを投与した例です。
これまたかなり分かりにくいんですが、若干、腫瘍が縮小しているのが分かるかと思います。
臨床評価が可能だった、9人中6人で腫瘍が6.6~35パーセント縮小したとのことです。
スゲーぞ!テロメラ……いやでもこれはどうなんですかね。若干、微妙な結果のような気が。。
症状が進行し、他に治療の手立てがない末期がんの患者んさんへの一回だけの投与ですので、そう考えると悪くはないですが、もう一つインパクトのある数字が欲しい気がする。
会社側としてもさらに有効性を高める必要があると思ったのでしょう。
単剤での投与の臨床試験を進めるのに加え、他の治療法との併用による治療効果の可能性を探り始めます。
末期の食道がん患者への放射線とテロメライシンの併用治療
まず取り組んだのが、放射線とテロメライシンの併用です。
放射線治療により、がん細胞のDNAを損傷させることができます。
一方、テロメライシンはがん細胞のDNAを修復させるたんぱく質を破壊させることができるので、放射線治療の効果を最大限に引き出せるんじゃねーのって話。
HPが少なくなったら、ベホマをかけて回復させるボス(がん細胞)に、まずはマホトーン(テロメライシン)をかけて呪文を封じるみたいなイメージですね。
うん、ドラクエ世代にはとっても分かりやすいぞ!
それでは次にこの併用療法による治験結果を見てみましょう!
手術や抗がん剤での治療が難しい食道がんの患者さんを対象に、放射線との併用療法によるテロメライシンの効果を検証する臨床試験が実施されました。
対象者は53~92歳の男女7名。
最初の岡山大学の発表によると、結果は5人のがんが縮小し、内、2人の腫瘍が消失したということです。
ここで出てくるのは、この腫瘍縮小や消失の効果に、実はあんまりテロメライシンは関係してなくて、単純に放射線のおかげなんじゃねーの?っていう疑問。
そこで放射線単独での縮小率などを探してみましたが、なかなか見つからず。
このデータによるとT4(末期)の食道がん患者さんへの、抗がん剤と放射線の併用療法におけるCR率(腫瘍が完全に消失した完全奏効率)は30%になっています。
案外高いなぁ……、という印象です。
割合だけで言えばテロメライシンと放射線治療の結果と大差ありません。
もちろん、投与された患者さんの状態や、奏効率よりも重要なそもそもの生存期間などが分かりませんので、なんとも比較できないですね。
……と、思っていたら、その後のテロメライシン&放射線治療の継続によって、計4人のがんが完全に消失した模様。
放射線の医師も、「放射線だけではこんなに効かない」と話しているそうなので、やはりテロメライシンには大きな可能性がありそうです。
(出典:オンコリスが苦難を越えて実現目指す、がん細胞を溶かす治療薬)
【2018年7月19日追記】
最終的には、手術不能・化学療法不適応の食道がん13例に投与され、局所での奏効率はCRが8例、PRが3例、CR+PRで84.6%となったと「第16回日本臨床腫瘍学会」で発表されました!!
(出典:オンコリスバイオファーマHP)
大腸がんから転移性がんを引き起こしたマウスへのテロメライシンの投与
さらにさらにもう一つ。
岡山大学の研究によると、テロメライシンは投与した部位のみならずに、転移したがん細胞の中でも増殖し、攻撃していました。
大腸がんを移植し、リンパ節転移を引き起こしたマウスにテロメライシンを投与したところ、7日後に消失したとのこと。
素敵な結果です。
今後、さらなる臨床試験の進捗によって、テロメライシンの遠隔効果が実証されれば、より幅広い使用が期待できます。
予防的な意味合いでの使用とかね。
またテロメライシンは、放射線だけではなく、オプシーボに代表される今をトキメク免疫チェックポイント阻害剤との併用も検討されています。
スポンサーリンク
[ad#co-1]
今後の展開は?
オンコリスではテロメライシンの上市に向けて、日本での食道がん患者を対象としたフェイズ1試験や台湾・韓国で肝細胞がんを対象としたフェイズ1/2臨床試験、またアメリカでもフェイズ2試験開始に向けた準備を順調に展開中。
会社としては、テロメライシンを比較的早めにライセンスアウトし、パートナー企業とともに臨床試験開発を進めていってもらう戦略を採っています。
なんせテロメライシンは特定のがんだけでなく、幅広い種類のがんへの有効性が期待されていますからね。
オンコリス単独では到底治験に回すお金を確保できません。
早い段階でのライセンスアウトは、上市後のロイヤリティ収入が少なくなるとはいえ、辛い資金繰りも経験してきたオンコリスです。
世界中でパートナーが決まり、治験費用を負担してもらいながら、オンコリスは安定的なマイルストーン収入を得ていく。
そんなリスクを抑えた成長モデルを描いているよう。
次なるパイプラインとしては「希少疾患」に焦点を当てたいとしています。
テロメライシンの上市までにはまだまだ時間がかかりますので、市場は小さくても、比較的審査が早く進み、収益化につなげやすい希少疾患分野での新薬開発に取り組む姿勢からも、リスク管理を重視した経営方針が窺えます。
今後の株価ですが、やはり目先は国内における食道がんのフェイズ1試験の結果。
この結果が良好であれば、ライセンスアウトがグッと近づきます。
契約一時金による黒字化も見えてくるでしょう。
さらに世界各国で展開されている、テロメライシンの各種固形がんに対する臨床の成功確度も高まることになりますので、今の時価総額なら「激安」といえます。
ただ、失敗したり、思ったほどの有効性が出ない可能性も普通にあるかと思います。
オンコリスが単剤だけでなく、成功確率を高めるために、各種治療法との併用を模索しているのが、この証左であろうと。
オンコリスの場合は、HIV治療薬の前例もあります。
ぜひともテロメライシンで飛躍的な成長を実現してほしいと思いますが、どうなりますか。
まとめ
・オンコリスのテロメライシンはがん細胞でのみ増殖し、がん細胞を破壊するスゴイ奴!
・前臨床では夢のある結果がゴロゴロ出てきた!
・目先の評価はテロメライシンの国内フェイズ1結果に大注目!
・あの惨状が再び……。
世界初で初めて販売承認の取得を受けた腫瘍溶解ウイルス製剤「T-VEC」よりも、テロメライシンには多くの優位性があるというオンコリス。
他の治療法がなくなった末期がん患者さんへの最後の治療法として確立されれば、治療法がない疾患へのニーズ、いわゆる「アンネットネットメディカルニーズ」を満たす製品として、莫大な売上を上げることも夢ではありません。
尤も、治験は未だ初期の段階ですし、今後の成功確率も「高い!」とまでは言い切れないのが現状だと認識しています。
投資家にとっては「入るタイミング」と「出るタイミング」が難しい銘柄かと。
今後も、上にも下にも激しく動く展開があるでしょう。
こんな銘柄こそ、現物・余剰資金で投資したいですね。
それでは今日も最後までお読みいただきありがとうございました_(._.)_










いつも分かりやすい解説とまとめをありがとうございます
今一情報の少ない免疫生物研究所やメディシノバを取り上げて頂けると嬉しく思います。今後も無理をなさらないようにお仕事と投資家を頑張って下さい。